top of page
COR T2 FSE
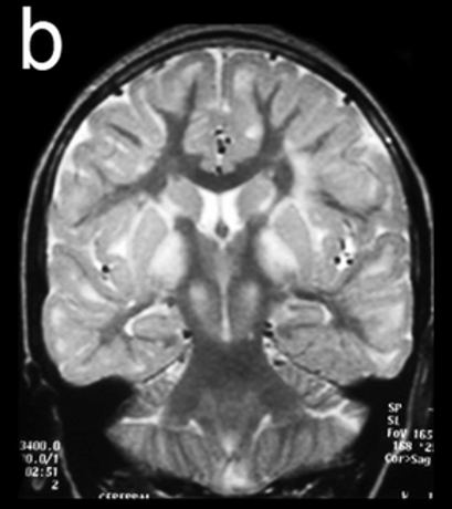
The coronal T2 FSE imaging in studies investigating brain structure, connectivity, and pathology. These images provide valuable data for understanding normal brain development and function, as well as the mechanisms underlying neurological disorders.

(H. Fourati et al., 2016)
bottom of page