top of page

BRAIN ANATOMY
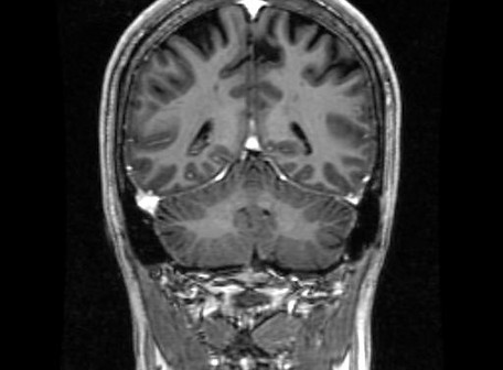
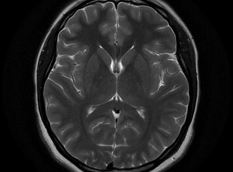
This the anatomical structure of brain. It will will explain about brain planes, brain lobes and cross-sectional of brain anatomy in MRI
bottom of page

This the anatomical structure of brain. It will will explain about brain planes, brain lobes and cross-sectional of brain anatomy in MRI